Biomécanique équine

La fourbure – ce fléau !

2023-07-30T14:46:09+02:00

La fourbure chez le cheval, mieux la comprendre et savoir l’éviter :

Les chevaux dans leur vie peuvent être touchés par différentes maladies. Il y en a 2 personnellement que je redoute le plus : les coliques et la fourbure.  Dans cet article, nous allons nous pencher sur la fourbure.

C’est un mal qui touche beaucoup de chevaux, certains de manière chronique. Il arrive que des chevaux passent des années en surpoids et au pré, sans qu’il n’arrive rien, et une année, sans qu’on ne sache pourquoi le cheval fait une fourbure (et spoiler alerte ! Des chevaux qui ne sont pas en surpoids peuvent AUSSI être atteints).

Déjà il convient de comprendre ce qu’est exactement une fourbure pour comprendre ce qu’il se passe dans le corps du cheval et pourquoi c’est grave.

On entend par fourbure une atteinte au niveau des pieds, qui provoquent de grandes douleurs pour le cheval et une dégradation importante des tissus mous, lié à un désengrènement des lamelles du podophylles et du kéraphylle (séparation des lamelles, comme un scratch qui se décolle en gros.)

Sabot fourbu vue solaire

Mais attention, la fourbure n’est pas juste une maladie des pieds ! Cependant, c’est une maladie à ne pas négliger car c’est une maladie mortelle si elle n’est pas prise en charge (2e cause de mortalité chez le cheval).

Quels sont les principaux parasites internes chez le cheval ?

La fourbure est engendrée par des toxines qui « empoisonnent » l’organisme du cheval, et cause une dégradation des tissus du pied.

3 hypothèses :

  • Fourbure endocrinienne liée à la dysrégulation de l’insuline (SME, qui représente la plus grande majorité des fourbures).
  • Fourbure endotoxinique liée à la présence d’endotoxines dans la circulation sanguine.
  • Fourbure mécanique, liée à des lésions ischémiques (diminution de la circulation sanguine dans les pieds)

On aura donc les facteurs suivants qui favorisent l’apparition des fourbures :

  • Surpoids, obésité du cheval
  • SME puisque c’est une des causes de la fourbure
  • Cushing
  • Excès de sucre
  • Médicamenteuse
  • Système vasculaire du pied perturbé par un mauvais parage ou une ferrure

La fourbure va le plus souvent atteindre les antérieurs, mais les postérieurs peuvent aussi être touchés !

Que se passe-t-il dans le pied précisément ?

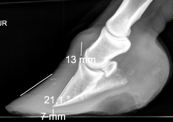
  • L’inflammation et la perturbation du réseau sanguin dans le pied va provoquer la séparation des lamelles du podophylle et du keraphylle. La 3 phalange n’est alors plus « tenue » par celles-ci et perd sa cohésion avec la paroi du sabot.
  • La conséquence est rapide, la 3e phalange va alors basculer vers l’avant.
  • Si la fourbure n’est pas gérée rapidement, la phalange va continuer de descendre jusqu’à venir percer la sole, par effondrement de la colonne osseuse
  • Dans les cas les plus graves, le cheval va perdre son sabot
bascule p3 fourbure

Sachez que souvent des chevaux sont condamnés dès que la sole a percé, ou pire quand le sabot est tombé. Mais il existe des cas de guérisons, même dans ces cas très graves ! (j’en connais personnellement).

Quels sont les symptômes :

Dès l’apparition des 1er symptômes, il convient de réagir. Plus la prise en charge sera précoce et plus la guérison sera rapide, et surtout les conséquences sur les pieds seront moindres.

  • Cheval qui piétine, se couche plus que d’habitude
  • Position campée
  • Refus de donner les pieds, pouls digité et pieds chauds
  • Augmentation de la fréquence cardiaque
  • Sudation, essoufflement, fièvre
Symptômes fourbure

Si votre cheval présente certains de ces symptômes, il faut l’immobiliser, lui mettre un panier et appeler le vétérinaire pour poser le diagnostic.

Une fois la crise avérée, alors il faudra mettre en place plusieurs choses pour soulager votre cheval :

  • Identifier la ou les causes pour les supprimer
  • Lui donner des antidouleurs si le vétérinaire vous le conseille (attention, la prise prolongée d’anti-inflammatoire non-stéroïdien peut dans certains cas aggraver la fourbure et l’état des pieds).
  • Placer votre cheval dans un endroit tranquille (s’il vit au pré, mettez le en stabulation), installez le sur un sol très confortable, et posez lui des bottes de secours. Vous pouvez les fabriquer vous-même avec des planches de piscine et du gros scotch, ou bien appeler SOS sabots pour vous procurer des boots adaptées.
Chaussure artisanale fourbure
  • Donnez à votre cheval du foin mouillé (laissez le tremper plusieurs heures avant de le donner, afin de retirer les sucres solubles)
  • Faire intervenir le podologue le plus tôt possible, et par la suite le faire venir dans des délais très rapprochés jusqu’à ce que les pieds retrouvent une forme physiologique

Que faire en préventif pour éviter la fourbure ?

  • Si votre cheval est en surpoids, il convient de le faire maigrir
Poney trop gros

Comment savoir si mon cheval est en surpoids ?

cote_de_chair cheval

Si votre cheval présente un cushing ou s’il est atteint de SME, alors il faut lui donner une alimentation sans sucre, sans céréale, sans mélasse.

Personnellement, je pense qu’un bilan et un suivi avec un nutritionniste équin est indispensable dans ces cas-là ! Se faire aider permet d’éviter bien des erreurs et de gagner temps et argent 🙂

  • Mieux gérer le pâturage

Par exemple le pâturage hivernal en période de gel est très risqué pour les chevaux. Pour les chevaux prédisposés encore plus. Tout particulièrement lorsqu’il fait beau mais que l’herbe ne pousse pas à cause du froid. En effet, dans ces conditions, la teneur en fructanes de l’herbe est très élevée et ils provoquent une réaction de libération d’insuline, qui peut être dangereuse pour les chevaux atteints de SME !

Si vous souhaitez quand même faire pâturer votre cheval, il convient de respecter quelques bonnes pratiques :

  • Diviser les parcelles en portions
  • Lui faire porter un panier H24
  • Faire du pâturage au fil est une bonne alternative pour éviter que les chevaux mangent trop d’herbe d’un coup
  • Ne pas le laisser trop longtemps à l’herbe chaque jour
  • Ne pas le mettre au pré quand l’herbe est rase
Panier cheval

Et enfin, on ne change pas l’alimentation du cheval sans arrêt et de manière brutale !

Pour conclure cet article, la fourbure est une maladie fréquente, mais encore assez peu connue sur les causes réelles et ce qu’il se passe réellement dans le corps du cheval. C’est pour cette raison que la prise en charge reste compliquée dans certains cas.

Dans tous les cas, la prévention reste le mieux, la détection précoce aussi, et il convient de réaliser une bonne prise en charge des pieds (tout en ayant supprimé la cause en amont).

En France, nous avons encore du retard sur la pris en charge en maréchalerie sur la fourbure, et certains chevaux se retrouvent avec des mutilations de pieds inutiles, dont ils ont beaucoup de mal à se remettre par la suite. Je vous conseille de faire attention au choix du professionnel pour suivre votre cheval pendant la phase de guérison !

Cet article vous a plu ? partagez ce lien sur vos réseaux –>La foubure, ce fléau !

Contact

Articles récents

Archives

Catégories

Interprète animalier

La fourbure – ce fléau !2023-07-30T14:46:09+02:00

La reprise du muscle chez le cheval

2023-03-27T14:57:07+02:00

Que ce soit après une période de repos forcé (blessure, maladie), après une période d’indisponibilité du cavalier ou bien après une perte de poids importante, il peut arriver que votre cheval perde du muscle. Dans ce cas vous aller avoir besoin de lui redonner de la condition physique de manière cohérente pour éviter une blessure et construire des muscles sains et forts.

NB : Lorsque le cheval perd du poids, il perd de la graisse avant tout, et il perd du muscle par l’inactivité. Il est probable que si votre cheval était en surpoids, il n’avait pas pu bâtir beaucoup de muscles. Et enfin, la graisse et le muscle sont des tissus différents ! Une perte de graisse n’est donc pas automatiquement synonyme de perte musculaire, dans le cas où la perte de poids est très progressive et en parallèle d’un travail continu.

Dans tous les cas, vous prévoyez de remettre votre cheval au travail, il va donc falloir établir un plan d’entraînement pour lui permettre de retrouver ce muscle perdu, et ce, sans se blesser ou avoir des douleurs.

Je précise avant de poursuivre que je ne suis pas entraîneur de chevaux ni coach, et que mon article est basé uniquement sur la physiologie du cheval et sa biomécanique, j’aborde donc le sujet plus d’un point de vue de la santé.

Les points à vérifier avant de démarrer :

Dans un 1er temps, votre cheval a perdu du muscle, il aura donc forcément modifié son schéma corporel et / ou compensé. La 1er chose à faire avant de reprendre un travail régulier ou soutenu, ce sera donc de faire un bilan avec l’ostéopathe, afin de ne pas démarrer sur un cheval « tordu ».

Le 2e point qui pour moi est primordial, c’est de vérifier si l’alimentation du cheval est adaptée, afin qu’il n’ait pas de carences.

Les carences en vitamines et minéraux ont un impact direct sur les muscles. Ils peuvent provoquer des tensions musculaires, des raideurs, des courbatures et des douleurs. De plus, sur un cheval carencé, vous ne parviendrez pas à construire des muscles forts et en bonne santé. On voit d’ailleurs assez souvent des chevaux qui malgré le travail reste « creux », la raison est que leur alimentation n’est pas équilibrée.

Pour vérifier ce point, vous pouvez réaliser une prise de sang, mais sachez qu’une prise de sang trop générique ne démontrera rien (votre cheval peut avoir une prise de sang normale au niveau des valeurs génériques et avoir quand même des carences). Si vous souhaitez avoir des précisions, il faut une prise de sang très ciblée.

Le plus simple est de faire une analyse de fourrage et de demander un bilan nutritionnel par un professionnel (ici : Harmonie nutrition équine)

3e point, est-ce que votre cheval est montable ? Ce point est important, car selon les raisons de la perte musculaire de votre cheval, il se peut que ce ne soit pas bénéfique pour lui de reprendre le travail monté trop tôt. Il est tout à fait possible de remuscler son cheval par du travail à pied, et cela peut-être un bon démarrage avant de se remettre en selle.

Lorsque vous avez vérifié les 3 points précédents, vous pouvez démarrer le travail.

Comment reprendre correctement ?

NB : que ce soit à pied ou en selle, il est important de préparer son cheval à l’effort, encore plus s’il vit en box. Pour cela, déjà au moment du pansage, vous pouvez réveiller un peu son corps par des mouvements circulaires. Ensuite, si un professionnel vous montre comment faire, vous pouvez réaliser quelques étirements, toujours après avoir marché au moins 5 minutes.

Si vous optez pour du travail à pied, voici quelques exercices que vous pouvez faire avec lui à pied :

  • Le travail en longe : 20 minutes de longe active sera un très bon début. Longer ne veut pas nécessairement dire tourner en rond ! Vous pouvez varier, amener et accompagner votre cheval en ligne droite sur la piste, et pourquoi pas sur des barres au sol.
  • Que ce soit en longe ou en liberté, faite lui faire beaucoup de transitions.
  • Toujours avec la longe ou en liberté (selon le niveau de votre cheval), vous pouvez travailler les déplacements latéraux, déplacement des épaules, des hanches, et le faire reculer.

Cette période transitoire sera de plus excellente pour renouer le lien avec votre cheval dans le travail.

Lorsque vous décidez de reprendre en selle, vous pouvez démarrer le travail par une reprise du cardio, en réalisant par exemple des trottings. Il est important d’y aller très graduellement, en augmentant la durée et la difficulté petit à petit. N’allez jamais au-delà des capacités de votre cheval.

Lors de vos trottings, n’hésitez pas à utiliser les dénivelés ! Monter, descendre, cela va obliger votre cheval à mobiliser des muscles importants. De préférence au pas, avec une allure régulière.

Ensuite, selon où et comment votre cheval c’est démusclé, il faudra cibler quelques exercices précis. Mais dans tous les cas sachez que le mieux est de varier. Ce que l’on cherche, c’est une musculature harmonieuse et régulière, donc il faut pour cela travailler différents exercices en alternant.

Ne cherchez pas à aller trop vite ! Si votre but est de reprendre le saut, la priorité ne sera pas d’aller sauter des barres. Il faudra entamer un vrai travail de fond sur le plat et en dressage d’abord. Si votre cheval savait sauter avant, il saura toujours dans quelques mois 😉 Rien ne sert d’aller trop vite, sinon vous risquez la blessure. En attendant, le travail sur des barres au sol ou barres surélevées fera une alternative excellente !

Lors de vos séances, faites beaucoup de transitions, et quand votre cheval est prêt, vous pouvez lui demander de partir au galop directement du pas, ou même au trot après un reculer.

Les précautions à prendre, avant et après les séances :

Dans tous les cas, il ne faut jamais négliger l’échauffement. Votre cheval doit avoir marché suffisamment rênes longues avant de démarrer le trot ou le galop.

Avant d’aborder une séance, fixez-vous des objectifs : quels muscles je souhaite travailler ? Comment le faire ? Combien de temps ? Et surtout, faites-vous aider de temps en temps pour qu’une personne extérieure regarde votre travail. Certains chevaux savent très bien gruger et réaliser un exercice sans être dans la bonne attitude. Hors, pour qu’un muscle travaille, il est important que l’exercice soit bien réalisé.

Pendant vos séances, ne faites pas de pause à l’arrêt, votre cheval doit toujours être en mouvement, même si c’est au pas rênes longues.

A la fin de chaque séance, prenez le temps de bien marcher votre cheval, de vous occuper de lui et d’être attentif aux moindres signes d’inconfort de sa part. Pour reprendre du muscle, il faut que le travail se fasse avec envie et dans la décontraction, sinon vous allez engendrer à l’inverse des tensions musculaires douloureuses pour votre cheval.

Selon le mode de vie de votre cheval, et selon les recommandations d’un nutritionniste, voyez si après certaines séances votre cheval à besoin d’une ration ou s’il a besoin d’électrolytes (en transpirant le cheval perd beaucoup de sel).

En parallèle, il pourra être intéressant de faire suivre votre cheval par un massothérapeute, afin que celui-ci vérifie la bonne santé des muscles et libère votre cheval d’éventuelles tensions qui peuvent s’installer.

Quelques mois après la reprise du travail, refaite un point avec l’ostéopathe à nouveau.

NB : je parle ici de suivi régulier, hors pathologie particulière ou conformation particulière dont un cheval peut-être atteint. Un cheval ayant eu de lourdes blessures ou présentant un high / low pourra avoir besoin d’un suivi plus régulier, avec peut-être un suivi véto en complément. Si votre cheval avait un protocole vétérinaire pour la reprise, alors vous devez en 1er lieu suivre celui-ci !

Cet article vous a plu ? partagez ce lien sur vos réseaux –> La reprise du muscle chez le cheval

Contact

Articles récents

Archives

Catégories

Interprète animalier

La reprise du muscle chez le cheval2023-03-27T14:57:07+02:00

Syndrome naviculaire Vs maladie naviculaire

2022-09-06T14:34:36+02:00

Connaissez-vous vraiment la maladie naviculaire ? Savez-vous comment cela survient et comment la prévenir ?

Dans cet article nous allons voir la différence entre le syndrome et la maladie naviculaire. Mais également comment on les détecte, comment on les différencie, les manières de traiter ou surtout d’anticiper cette pathologie qui touche beaucoup de chevaux. Allez c’est parti, je vous parle de tout ça !

Que ce soit pour un cheval en sortie de convalescence, un cheval qui arrive à la retraite ou encore un cheval qui a passé beaucoup de temps en box et qui va aller sur une vie 100% au pré, il y a des étapes à ne pas sauter pour lui offrir une belle vie au pré dans de bonnes conditions ! On vous explique tout.

La différence entre syndrome naviculaire et la maladie naviculaire

La plus grande différence c’est que le syndrome peut se soigner, rien n’est perdu pour votre cheval, alors qu’une fois la maladie installée, c’est irréversible et définitif pour lui.
Le syndrome naviculaire est une atteinte du tendon fléchisseur profond, de la bourse podotrochléaire ou bien de l’os naviculaire ce qui rend douloureux le pied de votre cheval. Cela est dû à une suite de chocs répétés sur une articulation ou tendon non sains. Cette atteinte n’est pas définitive, vous pouvez encore régler le problème en traitant la cause et en soignant votre cheval. A ce stade-là, la pathologie est réversible dans la plupart des cas.
La maladie naviculaire, c’est une atteinte directe de l’os qui est endommagé (remodelage). Le tendon de votre cheval est abimé et donc fragile ce qui veut dire que cela devient irréversible, non guérissable et qu’il va falloir aider votre cheval et adapter son activité. La maladie s’installe quand on laisse les douleurs à l’arrière du pied du cheval, sans traiter. Il n’y a jamais de maladie naviculaire sans qu’auparavant il y ait eu un syndrome naviculaire. Le diagnostic se fait grâce à une radiologie ou un IRM.

Les différents facteurs d’apparition de cette pathologie

Je vous livre ici les différents types de problématiques qui entraînent un syndrome naviculaire (et donc des douleurs) chez le cheval :
– La pourriture profonde des fourchettes non traitées
– Une douleur osseuse, tendineuse
– Une douleur au niveau de la bourse naviculaire
– L’arrière des pieds contractés (glomes resserrés et proéminents, fourchette longue et fine, pieds très ovales…)

sabot contracté

Les fers orthopédiques, une bonne solution ?

Les fers orthopédiques ne sont pas la meilleure alternative. Autant ils peuvent être une aide temporaire pour soulager votre cheval, mais trop souvent ce sont juste des « pansements » qui apportent du confort, ce n’est en aucun cas un traitement ! Il faut d’abord chercher la cause de la pathologie, pourquoi mon cheval a mal ? D’où cela peut-il venir ? et ensuite voir comment on peut traiter cette / ces cause(s). Sachez que la plupart du temps, la ou les causes sont biomécaniques, donc le problème au départ ne se situe pas au niveau des pieds (sauf si les pieds sont contractés à cause d’un mauvais parage, et que la pourriture de fourchette est causé par l’environnement ou la nutrition).

En travaillant avec une équipe de professionnels compétents, en réalisant de bons parages réguliers, cela aidera à coup sûr votre cheval.
Dns tous les cas, un cheval naviculaire a besoin de marcher (la stimulation de ses pieds sera essentiel dans le processus de réparation en cas de syndrome naviculaire), donc rester dans un box ne l’aidera pas. Prévoyez de lui offrir une vie au pré s’il est au box ou bien de le sortir plus souvent au paddock. Il retrouvera sa forme et son moral. (voir mon article sur la transition box/pré)

C’est pour cette raison que le pied nu avec un parage physiologique sera la meilleure alternative, car les structures des pieds seront correctement stimulées. Il sera peut-être nécessaire de soulager le cheval s’il est sensible, en lui posant des hipposandales (SOS sabots) ou des PHW.

Quelques idées reçues sur le naviculaire :

Beaucoup d’idées reçues sur cette pathologie comme la question de la génétique ou bien sur certaines disciplines.
Dans un premier temps, le syndrome naviculaire n’est pas génétique, certains chevaux pourront être prédisposés par leur conformation et s’ils pratiquent certaines disciplines pas adaptées pour eux. Dans quelques rares cas il pourra y avoir des maladies génétiques qui entraineront une maladie naviculaire.
Il est possible d’éviter cette pathologie si on connait bien la conformation de son cheval et qu’on évite pour lui certaines disciplines qui pourraient causer du mal à des articulations non saines.
Concernant la question de la discipline, un cheval naviculaire peut continuer à travailler dans le respect comme de la balade, du TREC, parfois un peu de dressage… Cependant, continuer à sortir en concours avec un entraînement intensif par exemple est fortement déconseillé, cela ne ferait qu’aggraver la situation et les douleurs pour votre cheval.
Le saut est vraiment contre indiqué car cette pathologie concerne presque toujours les antérieurs et la réception des obstacles ne ferait qu’aggraver la situation.

Cheval saute un obstacle

Agissez en préventif avec l’évaluation biomécanique & physiologique !

Je vous parle pour cette fin d’article de l’évaluation biomécanique que je propose, qui est une bonne prévention pour la plupart des pathologies, dont le naviculaire ! Lors d’une évaluation, j’étudie la conformation et la posture du cheval, ses compensations, et donc je viens mettre en évidence ses faiblesses qui pourraient conduire à une pathologie si elles ne sont pas prises en compte (il y a beaucoup de choses qui peuvent être améliorées sur un cheval, notamment quand il est encore jeune). Je vous invite à jeter un œil sur la page dédiée : https://animaux- connectes.fr/biomecanique-equine/ afin d’en savoir plus sur ce que l’évaluation biomécanique pourrait vous apporter.

Pour conclure cet article, sachez que nous pouvons prévenir beaucoup de pathologies (naviculaire et autre), si on s’intéresse, comprend et agit par anticipation. Parfois il faut aussi accepter que certains chevaux ne devraient tout simplement pas sauter ou faire du dressage de manière intense, pour leur bien-être et pour leur éviter des pathologies car leur conformation est parfois un facture de risque.

Cet article vous a plu ? partagez ce lien sur vos réseaux –> Mieux comprendre le syndrome naviculaire (Vs maladie naviculaire)

Contact

Articles récents

Archives

Catégories

Interprète animalier

Syndrome naviculaire Vs maladie naviculaire2022-09-06T14:34:36+02:00

L’importance du parage chez le cheval

2022-10-14T17:56:48+02:00

Intérêt du parage physiologique Vs ferrage ?

On connait tous cette expression très connue ! Elle tombe sous le sens, car si votre cheval a mal aux pieds, il ne pourra vous emmener nulle part. De plus, en tant que propriétaire de chevaux, il est de votre responsabilité de veiller au bien-être et à la bonne santé de votre équidé.

Ici je vais vous parler de ce qui est important dans l’évaluation et les soins des pieds de vos chevaux, de l’importance du parage physiologique, afin de vous aider pour une meilleure prise en charge.

Comprendre la biomécanique du pied :

Un pied sain, c’est tout d’abord :

  • Des structures osseuses alignées (P1, P2 et P3)
  • Une bonne santé des structures pour que les pieds puissent supporter le poids du cheval lors des phases d’appui.

La biomécanique du pied, c’est :

  • L’amortissement par l’arrière du pied avec un dépôt sur l’ensemble glomes/ fourchette (lors de cette phase, la sole s’affaisse, les talons s’écartent (le pied « s’ouvre ») pour revenir ensuite à leur place. La fourchette et le coussinet plantaire servent d’amortisseur et jouent un rôle de pompe pour le flux sanguin.
  • La phase de basculement qui doit se faire facilement et sans effort, afin de maintenir les fléchisseurs en bonne santé.
  • La répartition naturelle du poids est de 40 % sur les postérieurs et 60 % sur les antérieurs.
Mécanisme du pied du cheval © N. Genoux

Mécanisme du pied du cheval © N. Genoux

Classification des pieds - schémas

https://www.hoovesandhorses.com/

La biomécanique du pied est influencée par le parage et la biomécanique du corps.

En quoi le fer altère la biomécanique du pied et parfois la santé du cheval ?

Rappelons l’historique du fer :

Les chevaux, à l’état sauvage, parcourent en moyenne 20 km. Au-delà, la corne va s’user plus vite qu’elle ne va se régénérer, le cheval aura donc mal au pied.

Ils étaient auparavant utilisés pour se déplacer, aussi dès l’antiquité les hommes ont cherché des moyens de prévenir l’usure prématurée des sabots de leurs chevaux. Les Romains avaient inventé l’hipposandale, qui était une pièce de métal recouvrant la corne et remontant en partie sur le sabot, maintenue par des lacets de cuir. Le fer apparaît à la fin du IXe siècle avec le métier de forgeron.

Le fer avait pour unique but de prévenir l’usure prématurée des sabots, à cette époque il n’y avait pas de notion de biomécanique ni de bien-être pour le cheval, juste une utilité pour l’homme.

En aucun cas le fer n’a été créé dans un but orthopédique dans le seul intérêt de la santé du cheval et on comprend très bien pourquoi.

De nos jours, les chevaux sont utilisés dans un but de loisir, et il est très rare que ceux-ci parcourent plus de 20 km par jour. Le plus souvent les sorties sont d’1h par jour sur du sable pour les chevaux en écurie, un peu plus pour les chevaux au pré qui vont marcher librement + quelques sorties en extérieur (rarement tous les jours !) et le plus souvent sur des sols herbeux.

Il est alors tout à fait légitime de se poser la question de l’utilité du fer de nos jours, et également sur le « pourquoi » on continue de ferrer nos chevaux ?

Quel est l’impact du fer sur le pied ?

Le fer, de par sa structure totalement rigide, emprisonne les structures du pied, et les empêche de réaliser leur phase d’expansion. Le pied n’est plus mobile, la sole primaire reste fixe, les talons ne s’écartent pas et les vibrations dans les tendons, os et ligaments sont beaucoup plus importantes étant donné que la fourchette et le coussinet plantaire ne jouent pas leur rôle d’amortisseur de manière optimale. Le flux sanguin est donc très réduit.

De plus, afin de permettre la pose du fer et des clous, il est nécessaire pour le maréchal-ferrant de laisser un peu plus de paroi, ce qui fait que le parage est rarement optimal avec le ferrage.

Le plus important = un parage correct et physiologique !

En réalité, il faut prendre les choses à la base, avant même de décider si on pose ou non un fer !

La phase la plus importante et déterminante sur la santé des structures des pieds, c’est le parage. Que l’on pose ou non des fers, si le parage est inadéquat au départ, nous n’aurons pas des pieds en bonne santé. Le cheval sera sensible, il aura des seimes, des bleimes ou des éclats sur la paroi, il pourra aussi souffrir de pourrissement de fourchette, et de bien d’autres choses encore.

Parage invasif

Ici nous avons un parage très invasif (assez classique de beaucoup de maréchaux). La sole a été creusée, la fourchette taillée, le pied est très ovale, la pince est trop longue. Ce cheval n’a aucune chance de pouvoir marcher sans fer en l’état !

L’effet pervers du ferrage, c’est que bien souvent la pose du fer ou encore les ferrures orthopédiques vont venir « masquer » les problèmes et le cheval semblera mieux, moins sensible, apte à travailler. En réalité c’est comme un pansement que vous mettez sur une plaie qui ne guérira jamais, vous ne la verrez juste plus et vous penserez que tout va bien ! A long terme, votre cheval  pourra développer de l’arthrose, des tendinites à répétitions, un syndrome naviculaire et / ou à terme une maladie naviculaire.

Ceux qui auront un travail peu soutenu, des soins adéquats en parallèle et une vie saine pourront s’en sortir un peu mieux car l’impact sera moins important. Pour les autres, on pensera, à tort, que le cheval a été trop sollicité, que c’est génétique ou encore que c’est « juste un accident ».

Le délai idéal entre 2 parages pour que les structures restent bien à leur place et soient saines est d’environ 4 à 6 semaines, voire moins pour certains chevaux et selon l’environnement. Hors le délai moyen entre 2 ferrures est plutôt de 8 semaines.

Qu’est-ce qu’un parage physiologique ?

En prenant en compte la biomécanique du pied, on recherche évidemment que le cheval puisse déposer correctement en talons, que la phase de basculement soit facilitée, que les phalanges soient alignés et un appui sur la sole périphérique et non sur la paroi.

On veut donc :

  • Un pied non contracté (une fourchette large mais pas trop proéminente)
  • Une fourchette à la même hauteur que les talons
  • Des talons à leur place, c’est-à-dire à la fin des lacunes latérales
  • Un angle de muraille dans l’alignement du paturon
  • Une couronne parallèle au sol vue de face
  • Un bon breakover et mustang roll (chanfrein)
Sole du cheval anatomie

Pour conclure sur ce chapitre, mieux vaut des fers posés sur un bon parage qu’un cheval pieds nus avec un parage non-adéquat. (L’idéal étant bien sûr un bon parage et le cheval sans fer !)

Est-ce que le pied nu est adapté pour tous les chevaux ?

Nos chevaux ne naissent pas avec les fers aux pieds, je pense qu’on peut donc en déduire que OUI, tous les chevaux devraient pouvoir rester pieds nus.

La réalité n’est pas toujours aussi simple malheureusement. Le tout est de se poser les bonnes questions et de comprendre pourquoi votre cheval n’arrive pas à rester pieds nus.

J’entends et je lis beaucoup d’idées reçues sur le pied nu, c’est dommage car ces croyances empêchent de se poser les bonnes questions et donc d’apporter les bonnes solutions.

Je dirais pour commencer que si tous les chevaux peuvent rester sans fer, le pied nu ne conviendra pas en revanche à tous les cavaliers. C’est avant tout les contraintes (travail, environnement, mauvais soins…) apportées par les propriétaires qui vont faire qu’ils vont se convaincre qu’il faut ferrer et que c’est normal. Le tout est d’être honnête avec soi-même. Ce n’est pas pour le bien du cheval qu’on pose des fers, mais uniquement pour le confort du cavalier !

En fait, si les propriétaires de chevaux accédaient aux bonnes informations (et c’est ce que vous faites en lisant cet article !), ils comprendraient qu’ils pourraient procéder à des aménagements qui permettraient soit dans le meilleur des cas que leur cheval évolue sans fers, soit de prendre la décision de ne le ferrer que quelques mois dans l’année (pendant la saison de concours par ex, ou pendant la saison des randonnées…). Ainsi, ils limiteraient l’impact négatif des fers, et surtout leur cheval bénéficierait toute l’année d’un parage correct, ce qui, on l’a vu plus haut, reste le plus important.

Je ne veux pas rentrer ici dans la guéguerre qui oppose les maréchaux et les podologues équin, car pour moi il est essentiel que les propriétaires de chevaux sachent évaluer eux-mêmes le travail du professionnel. Il y a des maréchaux qui vont faire un très bon parage et poser des fers légers, qui impactent le moins possible. Ils seront de très bons conseils et sauront aussi dire quand il n’y a pas besoin de fers.

Il a y en revanche des maréchaux qui ne pensent qu’à la pose du fer, ils ne vont pas du tout parer correctement (je vois tellement de chevaux avec des pinces longues, des talons totalement migrés et encore bien d’autres horreurs). Le plus souvent quand l’état du cheval se dégrade ils vont juste proposer une ferrure orthopédique (ce qui ira un temps car cela reste un leurre) ou encore poserons des plaques en vous disant que votre cheval est sensible ou bien qu’il a les pieds plats et « qu’on ne peut rien faire ! » ce qui est bien entendu faux. Là encore la pose de plaque 365 jours par an ne vient agir que comme un pansement, sur une problématique interne ou externe qui ne sera jamais réglée !

De la même manière, il y a aujourd’hui des podologues très compétents, et d’autres qui n’ont qu’une très mince connaissance des pathologies des pieds et n’accompagnent pas bien les chevaux sensibles. Ce qui va convaincre les propriétaires que leur cheval n’est pas fait pour être pieds nus et vont référer.

Au lieu d’opposer les 2 professions, on devrait plutôt voir comment réformer la formation de maréchalerie, et qu’elle soit ouverte à tous, avec un module forge optionnel pour ceux qui ne souhaitent pas poser de fers. Ainsi tous les chevaux bénéficieraient d’un parage correct, fer ou pas fer.

Parage naturel et physiologique

Parage physiologique (pieds en cours de réhabilitation)

La sol n’est pas creusée, la fourchette n’a pas été taillée, juste quelques parties mortes retirées.

Parage naturel et physiologique

Les pieds de ce cheval sont très migrés, la corne est cassée en plusieurs endroits et il présente d’autres pathologies (descente distale, hight / low…)

Parage naturel et physiologique

Ici on voit que les pieds sont très contractés, les glomes ressortent beaucoup au dessus des fers.

Ce cheval à les pieds très ovale et les pinces trop longues. 

Tout d’abord, si votre cheval a été ferré de longues années, il va forcément y avoir une phase d’acclimatation, qui sera plus ou moins longue selon le cheval.

Vous êtes habitués à marcher avec des chaussures. Si vous allez dehors pieds nus dans l’herbe, ou sur du sable, ça ira, cela pourra même être agréable. Mais si vous le faites pendant 3 heures, vos pieds vont commencer à s’échauffer, à être douloureux. Si vous allez directement sur des cailloux, même 3 minutes ce sera déjà trop ! Et bien le cheval, c’est pareil !

Voici les éléments qui vont impacter la durée de la transition :

– Est-ce que le cheval avait un parage correct avant le retrait des fers ? Si la réponse est non, la transition sera plus longue car il faudra du temps pour que les structures du pied reviennent à leur place. Un pied qui fonctionne à nouveau, c’est douloureux pour le cheval au départ !

– Est-ce que votre cheval a une bonne alimentation ? La question mérite d’être posée car on pense tous que nos chevaux sont nourris correctement, mais en réalité c’est loin d’être toujours le cas ! Une mauvaise alimentation aura un impact sur la qualité de la corne et des structures, ce qui va créer de la sensibilité.

– Est-ce que votre cheval a un bon environnement ? Est-ce qu’il marche assez la journée ?

– Est-ce que vous avez suffisamment de temps à consacrer à la transition ?

– Votre cheval souffre-t-il déjà d’une pathologie ? Naviculaire, fourbure, remodelage osseux…

Un pied sensible, c’est toujours la conséquence de quelque chose. Alors si au bout de quelques semaines votre cheval ne s’habitue pas du tout et son état se dégrade, il est primordial de vous faire accompagner par un podologue compétent  ou un professionnel en biomécanique et physiologie équine, et / ou vétérinaire, qui vous aiderons à chercher la cause.

Dès lors que votre cheval souffre d’un problème, il faut toujours chercher la cause ! Sans quoi les symptômes deviendront à leur tour des causes d’autres choses….

Bien entendu, en parallèle de chercher les causes de la sensibilité des pieds de votre cheval, vous devez prendre en charge ses douleurs et vous pouvez utiliser des hipposandales, des bandes de plâtre, ou encore des antidouleurs s’il souffre d’une pathologie médicale diagnostiquée par le vétérinaire. Ensuite le temps fera son œuvre.

Une transition pieds nus c’est une rééducation, et il n’existe pas de rééducation sans inconfort ! Mais pour la santé de votre cheval, cela vaut le coup à long terme.

Quels effets bénéfiques pour mon cheval et quelles pathologies j’évite ?

A long terme, vous permettez à votre cheval d’évoluer de manière optimale. Il aura un bon retour sanguin, des structures saines, des os, tendons et ligaments en bonne santé, et également de ne pas avoir de fers va permettre une meilleure évacuation des toxines de son organisme.

Vous allez également prévenir le risque de syndrome ou maladie naviculaire, vous limiterez l’arthrose ou l’évolution de celle-ci s’il y a en a déjà, et également il y a un bien meilleur taux de guérison de fourbure chez les chevaux pieds nus. En effet, un parage physiologique est indispensable dans le traitement de la fourbure, et avec des pieds sains vous risquez moins de récidive dès lors que le SME est bien pris en charge.

Pour l’anecdote, une amie avait sa jument fourbue avec une traverse des 4 pieds de la P3 ! La jument souffrait et le vétérinaire devait venir le lundi pour une euthanasie. Cette amie a embarqué sa jument dans une clinique où elle a été prise en charge par une spécialiste du pied nu. En 4 mois elle était considéré comme guérie, et elle est toujours en vie aujourd’hui, elle marche normalement et sa propriétaire avait même pu refaire des balades avec.

Auparavant, la jument avait été suivie par le vétérinaire et le maréchal-ferrant, qui avait posé des fers à l’envers. En 3 mois son état n’avait fait que se dégrader. En effet, le SME était mal géré, et les fers empêchaient une bonne évacuation des toxines. L’organisme était saturé et la fourbure s’aggravait.

Combien de chevaux sont morts de fourbure mal soignée et mal prise en charge ? Je n’ai pas de chiffre mais je suis certaine que c’est dans tous les cas 1 de trop !!!!

Mon cheval déclaré naviculaire a pu mener une vie normale après le retrait des fers et la prise en main d’un bon parage, car il n’avait en réalité qu’un syndrome naviculaire, j’ai donc ainsi empêché une aggravation de son état. Chez lui les dégâts causés par un mauvais parage et les fers ont été en grande partie irréversibles et il souffre aujourd’hui de beaucoup d’arthrose. Mais aurait-il atteint l’âge de 31 ans si je l’avais laissé ferré ? J’ai de gros doutes…

Pour conclure cet article, voici les points que vous devez obligatoirement retenir :

  • Une bonne biomécanique du pied est indispensable, fers ou pas fer
  • Cela passe par un parage physiologique et un cadre de vie adéquat
  • Un mauvais parage combiné à des fers aura OBLIGATOIREMENT un impact négatif sur votre cheval, avec un jour où l’autre une pathologie (pas nécessairement au niveau des pieds).
  • Si votre cheval rencontre un problème récurrent, vous devez chercher la cause et la traiter.
  • Une bonne transition pied nu se fait avant tout avec un bon accompagnement et les bonnes informations ! Sinon c’est l’échec assuré
Parage physiologique

Une transition réussie et un pied devenu sain !

Merci à Mélissa Laflamme (ML Bioparage) pour les photos, ses explications et son travail. Merci à l’équipe MSS pour les formations de qualité proposées.

Besoin d’aide avec les pieds de votre cheval ? Une problématique récurrente au niveau de sa santé, tendinite, boiterie, problème locomoteur ? Contactez-moi pour une évaluation biomécanique et physiologique complète de votre cheval !

Contact

Articles récents

Archives

Catégories

Interprète animalier

L’importance du parage chez le cheval2022-10-14T17:56:48+02:00

Mes partenaires

2023-09-22T10:38:33+02:00

Dans le cadre de mes prestations, je suis souvent amenée à vous recommander d’autres thérapies pour aider efficacement votre animal. Pour ce faire, je me suis entourée d’un réseau de professionnels qui partages les mêmes valeurs que moi, et qui peuvent prendre le relai pour vous aider au mieux. Vous trouverez ci-dessous l’ensemble des personnes avec qui je travaille en collaboration !

Education canine / comportementaliste :

Sandrine DEBAILLEUX – De Bouche A Oreilles (comportementaliste chiens et chats autour de Joigny, Sens et Auxerre)

Philippe CHAPOT – comportementaliste médiateur & éducateur (Dans la Marne, l’Aube et l’Yonne)

Patricia CLOLUS – Dog connection (Conseiller Technicien Canin Spécialisé dans l’Yonne, l’Aube et la Marne)

Julie FLOIRAS – Educateur canin : Julie Floiras Education (Educateur Canin diplômé d’état dans l’Aube)

Alexandra LAPENDRY – Educateur canin – comportementaliste (Educateur Canin diplômée du centre de formation @anim’heureux (secteur Montpellier)

Naturopathie / Fleurs de Bach :

Dorothée QUERIN – Les jardins de Prabert (Bien-être en méthode naturels dans l’Isère)

Sophie RAMILLON – Conseillère agréée en fleurs de BachAppoigny dans l’Yonne)

Florine DANJOU – Naturopathe pour animaux (Département Marne)

Marie-Amélie BRANGBOUR – Naturopathe et toiletteuse (Département Aube)

Ostéopathe / Masseur / Shiatsuki :

Marie ABEILLE – Shiatsu et bien-être animal (départements 10 – 51 – 55)

Delphine POTTIER – Ostéopathe animalier  (départements 10 – 89)

Manon OLIVET – Osthéopathe animalier (départements 10 – dépt. voisins et étranger)

Pet-sitter :

Fanny WEBER – pension familiale (Service de garde de vos animaux à son domicile, dans l’Aube)

Nadège GUIGNER – pension familiale (Service de garde de vos animaux à son domicile, visite à domicile, balade, dans l’Aube)

Alexandra LAPENDRY – Truffe & Compagnie (Service de garde à domicile des propriétaires d’animaux de compagnie près de Montpellier)

Contact

Articles récents

Archives

Catégories

Interprète animalier

Mes partenaires2023-09-22T10:38:33+02:00
Aller en haut